23 Feb 2024
Dr. Zoe Vlamaki
Consultant General Surgery
Visit Profile
Book Appointment
Case Presentation:
61 year old female patient, with no other major past medical history, she is on high Blood Pressure control, with medication in the last few years of her life. She has no family history of breast cancer or any additional breast cancer risk factors.
Diagnosis and Description:
She presented to our hospital and was referred to breast clinic, with a nipple discharge of pus with occasional blood stains. Her symptoms started few years after her third and last pregnancy and was treated with antibiotics for a diagnosed breast infection that was recurring intermittently ongoing for more than 10 years of her life. Her screening investigation showed no significant findings.
During her clinical investigation under Doctor Zoe’s care, her diagnosis was given as nipple fistula and was recommended to have surgical treatment of Exploration and Excision of nipple fistula. Once all the investigations were completed including MRI of the breast.
Investigations and Management:
Radiological assessment, including MRI showed no significant findings (BIRADS 2 classification).
She underwent surgical treatment planned for Exploration and Excision of nipple fistula.
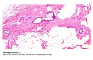
Histological findings are as follows:
Histopathology findings:
The Histological findings have great significance as no image or screening could identified. These benign changes seen in the histology result even benign at this stage led her risk to breast cancer to 8 folds. In her case, the margins of histopathology reported all clear, with no evidence of any remnant ADH (Atypical Ductal Hyperplasia) and Atypia. Her breast cancer risk after surgery, has fallen to the risk of her age in women’s population.
Following the MDT discussion of case, an organized plan for follow up and screening was formalized.
Conclusion:
The significance of such case indicates
- Ongoing symptoms must never be overlooked, but must be thoroughly looked at, and such case should be referred to Consultant Breast Surgeons for investigation and management.
- The case indicates the significance of a correct approach and management and the reduction of breast cancer risks.
- Untreated, such cases can significantly elevate the risk of developing breast cancer. Those cases treated efficiently minimize the risk that can silently progress to Breast Cancer.
- The long standing untreated condition, even benign can worsen the patient diagnosis at later stage causing unnecessary suffering to patient that which could have been avoided.
The patient presented to the clinic for follow up with satisfactory outcome. Patient is happy with the result.

